
תהליך יעיל. תוצאה מושלמת
VITA ENAMIC® multiColor –
מגדירה מחדש את עמידות השחזורים הדנטליים
גלו את כל מה שצריך לדעת על החרסינה ההיברידית
VITA ENAMIC® multiColor חומר מתקדם בעל מבנה חומר ייחודי.
VITA ENAMIC® multiColor מציעה יתרונות רבים במהלך העיבוד, ובראשם השגת אסתטיקה טבעית בתהליך עבודה פשוט ויעיל.
אין צורך בשריפה ואין צורך בצביעה.



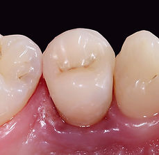
שחזור מיקרו־וניר לא־פולשני מחומר קרמי היברידי ®VITA ENAMIC
ד״ר מייקל צאו וד״ר הסואן צ׳ן | CEREC Asia, טאיפיי, טייוואן
טיפולים עדינים באזור הקדמי באמצעות ונירים ללא השחזה (Non-Prep) מחומר קרמי היברידי
ד״ר טינג־הואן לאי, ד״ר צ׳נג־האן לי וטכנאית השיניים שרון צ׳ואו
CEREC Asia, טאיפיי, טייוואן


שחזור מינימלי־פולשני של פגם בקצה חותך באמצעות קרמיקה היברידית CAD/CAM
ד״ר שֶׁנְג פאנג, רופא שיניים, צ׳נגדו, סין | וטכנאי השיניים פנג לי, צ׳נגדו, סין
VITA ENAMIC® multiColor באזור האסתטי
ד״ר אנדראס רייגר | טאלהיים, גרמניה
תהליך הייצור
עם ®VITA ENAMIC, אפקט הגוון הנדרש כבר נראה לעין בשלב ערבוב חומרי החרסינה, הודות להוספת פורמולת צבע מדויקת ומאוזנת באופן מושלם. לאחר מכן החרסינה נלחצת לצורת בלוק ועוברת סינטור מוקדם נקבובי.
את הבלוק הנקבובי ניתן להשוות לספוג, המכיל רשת של תעלות זעירות ומסועפות. מערכת נימית זו מסוגלת לספוג נוזלים כאשר היא באה איתם במגע – תהליך המוכר בשם אינפילטרציה (החדרה).
דוגמה יומיומית לאפקט הנימי ניתן לראות כאשר קוביית סוכר באה במגע עם קפה: בתוך שניות הקפה מתפשט במהירות בתוך החללים הזעירים של קוביית הסוכר. כך בדיוק מתרחש התהליך גם בבלוק החרסינה המסונטר והנקבובי ובפולימר חסר צבע ובעל זרימה חופשית.
חללי החרסינה עוברים החדרה מלאה בתוך אמבט פולימרי. לאחר מכן, הפולימר שחדר לחומר מוקשה בתהליך פולימריזציה מורכב במיוחד, תחת לחץ וחום מבוקרים.
תכונות הדומות לשיניים טבעיות ויתרונות רבים בעיבוד – הודות לחרסינה ההיברידית ®VITA ENAMIC
עיבוד מדויק, אינטגרציה אמינה
מאחר שמבנה הרשת הכפולה אינו שביר כמו חומרי CAD/CAM חרסינה טהורים, ניתן לחרוט (לכרסם) אותו בדיוק רב יותר ובעוביים דקים במיוחד. הדבר מאפשר התאמה שולית מדויקת, עם אזורי שוליים בעובי של עד 0.2 מ״מ בלבד.
שחיקת הכלים בתהליך זה נמוכה משמעותית בהשוואה לבלוקים קרמיים מלאים.
®VITA ENAMIC מציג עמידות גבוהה במיוחד במהלך תהליכי החריטה והגימור. סדקים בחרסינה נעצרים בנקודת המפגש עם הפולימר, מה שמגביר את אמינות החומר.
תכולת החרסינה הפלדספאטית היא הדומיננטית וניתנת להתניה בשיטות המקובלות באמצעות חומצה הידרופלואורית וסילאן, דבר המוביל לרמות הדבקה גבוהות – בדומה לחומרי חרסינה מלאים.

עיבוד מדויק, השתלבות אמינה
בזכות המבנה הדו־רשתי ניתן לחרוט את ®VITA ENAMIC בדייקנות ובעובי דק במיוחד, להשגת התאמה שולית מדויקת עד 0.2 מ״מ. שחיקת הכלים נמוכה משמעותית, החומר יציב בעיבוד ובגימור, וסדקים נבלמים במפגש עם הפולימר.

תהליכי עבודה יעילים
לאחר הגימור והליטוש, מראה השחזורים דומה לזה של שיניים טבעיות, והם מוכנים לשימוש ללא כל צורך בשריפה. מחקרים קליניים מראים כי התכונות החיוביות של קרמיקה היברידית באות לידי ביטוי גם בהשפעה קלינית חיובית בפה.

תכונות הדומות לשן טבעית
בזכות מודול אלסטיות הדומה לזה של הדנטין,
®VITA ENAMIC מסוגל לספוג כוחות אוקלוזליים. כלומר, הכוחות נבלמים באמצעות עיוות אלסטי מבוקר, מה שמוביל לשחזורים עמידים ולהפחתת העומס התפקודי על מערכת הלעיסה.
מעברי צבע טבעים משולבים בשש שכבות מדורגות ועדינות, מאזור הצוואר ועד לקצה החותך.
ניתן למקם את השחזור באופן אינדיבידואלי בתוך ה־blank הווירטואלי, וכך לשלוט בצורה ממוקדת במעבר הצבע וברמת השקיפות. רמת שקיפות: HT (High Translucency).
מטופלים מדווחים על תחושת נוחות וחוויית לעיסה הדומות לאלו של חומר שן טבעי.
שחיקת הקרמיקה ההיברידית דומה לשחיקת האמייל, ותורמת להשתלבות הרמונית של השחזורים, תוך מניעת הפרעות אוקלוזליות וליקויים תפקודיים בתוצאות קליניות ארוכות טווח.

שחזור ציפוי עם פלישה מינימלית מחרסינה היברידית
®VITA ENAMIC multiColor
ד״ר אנדראס קורבאד | רופא שיניים, וירזן, גרמניה
תיקונים אסתטיים באמצעות ציפויים צריכים להתבצע עם מינימום פלישה ומוגבלים לאמייל בלבד, ובו־בזמן – למרות עובי שכבה דק במיוחד בפה – לאפשר משחק טבעי של צבע ואור.
גוש ה-CAD/CAM הרב־כרומטי VITA ENAMIC® multiColor כולל מעברים מובנים של צבע ושקיפות, המורכבים משש שכבות מדורגות בעדינות. כך ניתן לשחזר מראה שן טבעי כמעט בלחיצת כפתור, ובמרבית המקרים ניתן לוותר על אפיון באמצעות צבעים.
המבנה הייחודי של רשת כפולה חרסינה-פולימרית מאפשר עובי דפנות צר במיוחד – עד 0.2 מ״מ – תוך שמירה על יציבות שוליים גבוהה. תנאים אלה מהווים בסיס אידיאלי לשחזור שתי החותכות המרכזיות בלסת העליונה, כפי שמודגם בדו״ח מקרה זה של ד״ר אנדראס קורבאד.



מטופלת בת 45 פנתה למרפאה כשהיא אינה מרוצה מהמראה האסתטי של שיניה הקדמיות. החותכות המרכזיות איבדו, ככל הנראה, את קווי המתאר ואת אורך הקצה החותך כתוצאה מתהליכי שחיקה וארוזיה. בנוסף, השיניים הקדמיות היו מוכתמות באופן ניכר. המטופלת ביקשה להשיב לשיניים מראה טבעי באמצעות טיפול מינימלי־פולשני.
מצב התחלתי: תהליכי ארוזיה ושחיקה הובילו לקיצור החותכות ולאובדן המורפולוגיה של השיניים 11 ו־21.
שלבים קליניים
לצורך תכנון טיפול ממוקד בוצעה סריקה של המצב הקליני באמצעות CEREC Omnicam (Dentsply Sirona, גרמניה), וכן צולמו תמונות קליניות. באמצעות תוכנת Smile Designer Pro (Tasty Tech, קנדה) בוצעה סימולציה של הארכת הקצה החותך ועיצוב מחדש של המורפולוגיה. על בסיס תכנון זה הוכן Mock-up קליני, אשר סיפק את רצון כל המעורבים.
תכנון CAD
ה-Mock-up נסרק תוך-פומית ושולב בתכנון הווירטואלי בתוכנת CEREC כהעתק ביוגנרי. בשל אובדן חומר בשטח הווסטיבולרי של השיניים 11 ו-21, בוצעה ההכנה בגישה מינימלית במיוחד באמצעות מיקרו-צ’מפר באזור הצווארי. לאחר מכן נסרקה מחדש הסיטואציה הקלינית, לצורך תכנון וירטואלי של הציפויים וייצורם בטכנולוגיית CAD/CAM.

ייצור CAM
לאחר הייצור בתמיכת CAM, שלב הגימור בעזרת יהלומים סיבוביים התמקד בעיקר במרקם פני השטח.
עיצוב הציפוי ההיברידי באמצאות תוכנת CEREC
ליטוש והדבקה מלאה
לבסוף, הציפוים לוטשו לברק גבוה והותקנו באותו המפגש. לאחר ניסיון קליני, שתי השחזורים הודבקו בהדבקה מלאה.
רשת החרסינה הדומיננטית מסוג פלדספר (86% במשקל) של הציפוי החרסינה ההיברידי נצרבה בשיטה המקובלת באמצעות חומצה פלואורידית ולאחר מכן סולננה.
האימייל הוכן באמצעות חומצה זרחתית ודבק חד־רכיבי המתקשה באור.
לאחר ההדבקה באמצעות צמנט קומפוזיטי בגוון מותאם, הציפויים ההיברידיים השתלבו בצורה הרמונית באזור האסתטי.
תוצאה סופית
הודות לייצור מהיר ללא צורך בשריפה לקריסטליזציה או בסינטור, ובזכות גרדיאנט הצבע המובנה, ניתן היה לשחזר את שתי החותכות המרכזיות בצורה יעילה ואסתטית. המטופלת הייתה מרוצה מאוד מהתוצאה המהירה והמינימלית-פולשנית.

לוחצים על כפתור האסטתיקה: שחזור ציפויים בעבודה דיגיטלית עם ®VITA ENAMIC multiColor
ד"ר מחמוד אזאט גהזי | קהיר, מצרים
יותר ויותר מטופלים מבקשים לשפר את מראה החיוך שלהם באמצעות ציפויי חרסינה (veneers). בהליכים אסתטיים מסוג זה, חיפשו תמיד רופאי השיניים חומרים בעלי משחק טבעי של צבע ואור, המאפשרים עובי שכבה דק לטיפולים מינימליים-פולשניים. החרסינה ההיברידית VITA ENAMIC® multiColor, עם גרדיאנט מובנה של צבע ושקיפות, מציעה סוף־סוף אפשרות לשחזורים CAD/CAM אסתטיים במיוחד ויעילים מאוד.
המבנה היציב של הרשת הכפולה מורכב מחרסינת פלדספר נקבובית שעברה קדם-סינטור והוחדרה בפולימר, ומאפשר עובי שכבה של עד 0.2 מ״מ עם אזורי שוליים מדויקים לחלוטין . בשילוב עם Digital Smile Design (DSD), התוצאה הסופית הופכת לצפויה וניתנת להמחשה מראש יחד עם המטופל. בדיווח המקרה הבא מציג ד״ר מחמוד עזת גאזי את השלבים הדיגיטליים והידניים הנדרשים במעבדה ובמרפאה לשיקום מוצלח באזור האסתטי.


מטופלת פנתה למרפאת השיניים עקב חוסר שביעות רצון מהמראה האסתטי של חיוכה. בבדיקה הקלינית הראשונית נצפו כתמים חומים ולבנים על המשטחים הווסטיבולריים של השיניים הקדמיות. נגעי העששת ההתחלתיים היו תוצאה של טיפול אורתודונטי קודם עם מכשיר קבוע. בעת חיוך נראתה חשיפת חניכיים מוגברת (gummy smile) וכן חניכיים היפרטרופיות באזור החותכות העליונות.
שלבים קליניים
בשלב הראשון בוצעה תיעוד דיגיטלי מלא באמצעות צילומים וסרטוני וידאו לצורך קיבוע המצב ההתחלתי. יחד עם המטופלת נותחו הגורמים האסתטיים המפריעים. לאחר מכן בוצע סריקה תוך־אוראלית ראשונית באמצעות סורק TRIOS של 3Shape.
צילום חיוך חזיתי בוצע באמצעות אפליקציית DSD, ועל פיו תוכננה מורפולוגיית שיניים אידיאלית לשיניים הקדמיות והפרה־מולריות. הנתונים שולבו בתוכנת NemoDSD ליצירת Wax-up וירטואלי, אשר הודפס בתלת־ממד. על בסיס המודל הוכן מפתח סיליקון, ששימש ליצירת Mock-up תוך־אוראלי זמני.
ה-Mock-up הוצג למטופלת בצילום ובווידאו, ולאחר אישורה הוחל בטיפול הסופי. בוצע עיצוב חניכיים מונחה לאורך גבול ה-Mock-up, ולאחר מכן הכנה מינימלית לוונירים תוך שמירה על האמייל. נוצר Chamfer עדין באזור צוואר השן, ולאחר גימור בוצעה סריקה תוך־אוראלית נוספת כהכנה לשלב הסופי.

תכנון CAD
הציפויים תוכננו מחומר VITA ENAMIC® multiColor בגוון 1M1 HT, באמצעות תוכנת תכנון CAD (3Shape, דנמרק), על בסיס ה־Virtual Wax-up.
ה־Virtual Wax-up הותאם לסריקת ההכנה, לצורך תכנון הציפויים בתוכנת ה-CAD

ייצור CAM
לבסוף, הבלוקים נחרטו באמצעות מכונת הכרסום CORiTEC 250i (imes-icore, גרמניה).
עשרת ציפויי החרסינה מייד לאחר החריטה

ליטוש והדבקה מלאה
הליטוש בוצע באמצעות ערכת הליטוש ®VITA ENAMIC, והאפיון האינדיבידואלי והזיגוג בוצעו באמצעות ערכת הצבעים VITA ENAMIC® STAINS מתקשה באור.
חומר דנטלי זה אינו דורש שריפה, דבר המהווה חיסכון משמעותי בזמן ומאפשר טיפול במטופלים בביקור אחד בלבד.
לאחר ניסיון קליני קצר, הציפויים עברו התניה באמצעות חומצה הידרופלואורית וסילאן, ולאחר מכן הודבקו בהדבקה מלאה באמצעות צמנט קומפוזיטי.
הליטוש נעשה עם גלגל גומי מתוך
VITA ENAMIC Polishing Set
תוצאה סופית
התוצאה האסתטית הסופית תועדה בצילום ובווידאו במפגש שלישי, שבו ניתן היה להבחין בבירור שהמטופלת חשה בנוח מאוד עם השחזורים החדשים שלה. הציפויים הציגו משחק טבעי של אור וגוונים והשתלבו בהרמוניה עם האישיות השמחה והבטוחה בעצמה של המטופלת. האסתטיקה הוורודה והלבנה הוצגה בהתאמה מושלמת.
בהשוואה לציפויים שיוצרו בשיטה המסורתית על מודלים רפרקטוריים, תהליך העבודה הדיגיטלי בין המעבדה למרפאה אפשר התקדמות יעילה ומהירה עם תוצאה אסתטית מצוינת. שילוב של Digital Smile Design עם החרסינה ההיברידית הרב־כרומטית VITA ENAMIC multiColor מהווה לפיכך חלופה טיפולית כלכלית, צפויה ובעלת רמת אסתטיקה גבוהה בתחום רפואת השיניים האסתטית, המאפשרת הנגשת טיפולים קוסמטיים לקהל רחב יותר.

כתר אנ דודונטי שיוצר בטכנולוגיית CAD/CAM מחרסינה היברידית ®VITA ENAMIC multiColor
ד"ר אוקסנה נידיונובה | קרגנדה, קזחסטן
שימוש ב־Endocrowns לשיקום שיניים פגועות עמוקות שעברו טיפול שורש הוא פתרון מוכוון-פגם (defect-oriented) ומינימלי-פולשני. בניגוד להכנת כתרים מלאים, שימור מרבי של חומר שן הוא עיקרון מרכזי בשיקום באמצעות Endocrowns. עם זאת, במקרים אלו נדרשים חומרי CAD/CAM מתקדמים, כגון החרסינה ההיברידית הביומימטית ®VITA ENAMIC, המאפשרת שחזורים עדינים במיוחד בעוביי דופן מינימליים ובעלת תכונות מכניות הדומות להתנהגות של שן טבעית.
במקרה המוצג, החרסינה ההיברידית נבחרה גם בזכות יציבות קצוות גבוהה, המאפשרת עיבוד מדויק בטכנולוגיית CAM, וכן בזכות היכולת להשיג חיבור הדבקתי בטוח ואמין בהתאם לפרוטוקול המוכח של חרסינה מלאה.


מטופל בן 28 הגיע למרפאה לאחר טיפול אנדודונטי ושחזור סתימה בשן 14, בשל הצטברות מתמשכת של שיירי מזון במרווח הדיסטלי-פרוקסימלי, שהיו קשים לניקוי וגרמו לעיתים קרובות לדלקת מקומית. בבדיקה הקלינית נמצא כי השחזור הסתימתי (OD) אינו מספק. בדיקת הרנטגן לא העלתה ממצאים חריגים.
המטופל בחר בשיקום חדש, מהיר ויעיל המבוסס על טכנולוגיית CAD/CAM. לצורך השחזור נבחר החומר VITA ENAMIC® multiColor polychrome – בלוק CAD/CAM בעל גרדיאנט מובנה של צבע וטרנסלוצנטיות, המאפשר שחזור אסתטי עם משחק טבעי של צבע ואור, הניתן להשגה בקלות וביעילות.
שלבים קליניים
לפני ההכנה נקבע גוון השן 2M2 באמצעות VITA Toothguide 3D-MASTER, ונבחר הבלוק המתאים בגוון 2M2. לאחר מתן אלחוש מקומי הוסרה הסתימה הקומפוזיטית הקיימת. לאחר מכן בוצעה הכנה מלאה להדבקה, והאנדרקאטס הושוו באמצעות קומפוזיט בעל צמיגות נמוכה.
דפנות החלל שנותרו הושחזּו באופן מינימלי בלבד, עם הכנת כתף (shoulder preparation). בהמשך הוכנס חוט רטרקציה ובוצעה ג’ינגיבקטומיה באזורים הדיסטליים שבהם החניכיים היו מוגדלות ומודלקות, על מנת לאפשר סריקה אופטית מדויקת וזיהוי מלא של כל האזורים הרלוונטיים.
תכנון CAD
לאחר השלמת תכנון ה-CAD, ניתן היה למקם את השחזור בצורה מדויקת בתוך בלוק VITA ENAMIC® multiColor הווירטואלי, בעל שש שכבות מדורגות בעדינות, כך שגרדיאנט הצבע והטרנסלוצנטיות יתאימו באופן מיטבי למצב הקליני.
ייצור CAM
לאחר מכן בוצע הייצור במכשיר השחזה MyCrown Mill (FONA Dental, סלובקיה).
לאחר גימור השחזור בעזרת יהלומים עדינים, החריצים הותנו באמצעות חומצה הידרופלואורית (5%) וסילאן, לצורך אפיון בעזרת צבעי קומפוזיט המתקשים באור.
ליטוש והדבקה מלאה
נוצר סכר גומי (Rubber Dam) לצורך ההדבקה המלאה, כדי למנוע זיהום ולהבטיח יובש מוחלט וקשר הדבקה יציב לאורך זמן.
משטחי ההדבקה של השחזור עברו התניה באמצעות חומצה הידרופלואורית (5%) וסילאן.
כדי ליצור תבנית חריטה רטנטיבית באזורים האמייליים ולהכין את הדנטין לקשר ההדבקתי, החלל נחרט בחומצה פוספורית, ולאחר מכן הוחל חומר הדבקה.
להדבקה נעשה שימוש בקומפוזיט Micerium (איטליה) בגוון HRI, אשר חומם להפחתת הצמיגות ולהקלת ההשמה.
לבסוף בוצעה הקשיה באור והוסרו שאריות הקומפוזיט.
תוצאה סופית
כתוצאה מכך, השחזור מהקרמיקה ההיברידית הרב־כרומית השתלב באופן הרמוני במבנה השן הטבעי והניב תוצאה אסתטית גבוהה במיוחד. בביקורת שבוצעה שלושה חודשים לאחר מכן נצפתה חניכיים בריאה, ללא סימני דלקת, סביב השחזור.

שחזור כתר נתמך-שתל מחרסינה היברידית
®VITA ENAMIC multiColor
ד"ר אלקסנדר הסל | מנהיים, גרמניה
שחזורים ושתלים נחשפים לעומסים גבוהים במיוחד. לאחר עקירה והשתלה, חסר למטופל מנגנון סיבי האלסטין של המצע הדנטלי הטבעי. כתוצאה מכך, כוחות הלעיסה אינם נבלמים אלא מועברים ישירות לשחזור, לשתל, לעצם ולשיניים הנגדיות.
החרסינה ההיברידית ®VITA ENAMIC מציעה מבנה רשת כפולה המורכב מחרסינה (86% משקל) ופולימר (14% משקל). שילוב זה מקנה אלסטיות הדומה לדנטין ויכולת ספיגת כוחות לעיסה.
בשל הגובה האנכי הרב, הבלוק הפוליכרומטי VITA ENAMIC® multiColor בגיאומטריית EMC-16 מאפשר ייצור כתרים מונוליתיים חד-יחידתיים מסוג abutment crown – גם במקרים של אטרופיה גרמית. במאמר שלפניכם מדגים פרופ’ ד״ר אלכסנדר האסל את תהליך השיקום במטופלת באמצעות פתרון זה.


מטופלת בת 53 פנתה למרפאה בשל בעיות סגר. בבדיקה קלינית ורדיולוגית אובחן שבר שורש בשן 26 שטופלה אנדודונטית בעבר. השן נעקרה תוך שימור עצם.
מאחר שהמטופלת דחתה תותבת נשלפת וכן הכנה פולשנית לגשר על גבי שיניים 25 ו-27, הוחלט לסגור את המרווח באמצעות שיקום נתמך-שתל. למטופלת היסטוריה של פריודונטיטיס שטופל ויוצב באמצעות תוכנית מניעה קפדנית. באזור 26 נצפתה אטרופיה של עצם הלסת, ולכן נבחר בלוק החרסינה ההיברידית הפוליכרומטי VITA ENAMIC® multiColor בגיאומטריית EMC-16 לשיקום הנתמך CAD/CAM.
שלבים קליניים
שתל OsseoSpeed EV (Dentsply Sirona, גרמניה) הוחדר באזור 26. לאחר תקופת החלמה של שלושה חודשים נלקחה מידה פתוחה.
לצורך לקיחת המידה באמצעות Impregum (3M, גרמניה), מגש מידה חד-פעמי של VITA נוקב ייעודית באזור השתל. על בסיס זה יוצר מודל אב, שנסרק דיגיטלית בסורק המעבדתי inEos X5 (Dentsply Sirona, גרמניה).
תכנון CAD
הכתר תוכנן בתוכנת exocad (גרמניה). תוכנן כתר abutment עם תעלת בורג אינטגרלית, המותאם למבנה האינדיבידואלי ולקוטר תעלת הבורג.
ייצור CAM
יחידת הכרסום N4 (vhf camfacture, גרמניה) שימשה לכרסום רטוב של כתר ה-abutment.
ליטוש והדבקה מלאה
ה-abutment האינדיבידואלי הותז בחול לפני ההדבקה והותנה בפריימר למתכת.
משטחי ההדבקה ותעלת הבורג של כתר ה-abutment נצרבו בחומצה פלואורידרית ולאחר מכן עברו סילניזציה.
מרווח הצמנט והכתר לוטשו והושלמו תחת חסימת אוויר לאחר התקשות צמנט הקומפוזיט.
השחזור הוברג בפה, נבדקו מגעים פרוקסימליים וסגר. לאחר החדרת סרט טפלון, תעלת הבורג נסגרה בהדבקה באמצעות קומפוזיט סתימות.
תוצאה סופית - יעילות ואסתטיקה
הודות לגובה האנכי הרב של בלוק VITA ENAMIC® multiColor EMC-16 ולמאפייני העיבוד המצוינים של קרמיקה היברידית, יוצר כתר abutment אסתטי ויעיל בתהליך CAD/CAM – גם בנוכחות אטרופיה גרמית באזור 26.
שחזור מונוליתי מפחית משמעותית את הסיכון לשברים (chipping). בנוסף, בדיקות מעבדה מצביעות על כך שמבנה הרשת הכפולה של הקרמיקה ההיברידית מסוגל לעצור היווצרות סדק ראשוני, דבר המצביע על יציבות קלינית ארוכת טווח.
ההדבקה החוץ-פומית מונעת שאריות צמנט בחריץ החניכיים ומקטינה סיכון לפרי-אימפלנטיטיס.
בביקורת לאחר שבוע המטופלת הביעה שביעות רצון גבוהה מתחושת הלעיסה הטבעית ומהמראה הריאליסטי של השחזור. בבדיקה נצפתה חניכיים מעוצבת, אסתטית וללא דלקת, עם משחק טבעי של אור וגוון בכתר הקרמיקה ההיברידית הפוליכרומטי.
מי שקורא עד הסוף, בדרך כלל גם שואל את השאלות הנכונות.
השאירו פרטים ונמשיך משם...
דנטל סנטר – היבואן הבלעדי של VITA בישראל



























