

מבצע
5+2
* הבונוס על הזול מביניהם
* המבצע עד 15.1.2026
מטעם חברות דנטל סנטר א.ר. בע"מ ו-VITA, שמחות לפרוס בפניך מידע + אסופת מקרים קליניים המדגימה את היישומים המתקדמים והערך האסתטי של VITABLOCS בשיקום שיניים מודרני.
VITABLOCS - מובילים בשחזורי חרסינה רב- שכבתיים: כתרים, ציפויים, וסתימות חרסינה ללא מתכת
שחזורים מחומרים בעלי גראדיאנט צבע מובנה הם הסטנדרט הקיים היום בתחום השיקום הדנטלי – ובצדק. בלוקים מתקדמים אלו מדמים באופן טבעי את מעברי הגוון בשיניים, מפשטים משמעותית את תהליך הייצור, וחוסכים זמן יקר.
המשתמשים יכולים להתמקד יותר בצורה, בטקסטורה ובמורפולוגיה של השחזור – ובכך לייצר ולקבל תוצאות אסתטיות מעולות, גם באזור הקדמי, עם מעט מאוד תוספות צבע , או כלל ללא צורך בהן.
גם עבור המטופל: שחזור אסתטי מלא או חלקי ללא צורך בציפוי נוסף מצמצם את הסיכון לסדקים ו/או לשברים.
מוכח – ומגדיר את הרף הגבוה כבר שנים
החרסינה הפלדספאטית המתקדמת של VITABLOCS TriLuxe forte, בעלת מעברי גוונים מהאזור הצווארי ועד לקצה החותך, מובילה בתחום מאז 2007, נמכרת בישראל מ- 2008, עם הצלחות מוכחות.
הבלוק VITABLOCS TriLuxe forte מציע שילוב נדיר של אסתטיקה מובנית וביצועים קליניים מצוינים – ומספק יתרונות משמעותיים בשחזורים מלאים או חלקיים -
PERFECT MATCH: התאמה מדויקת למפתחות הצבעים של VITA
הצלחת השחזור המלא/חלקי מתחילה בבחירת בלוק בגוון המדויק המתאים לגוון השן של המטופל.
בלוקים VITABLOCS מיוצרים על פי תקן הגוונים הרשמי של VITA, ומבטיחים התאמת גוון מדויקת במיוחד — כך שכבר בעת בחירת החומר מתקבלת התאמת גוון אופטימלית [2,3].
הגוונים של הבלוקים קיימים לפי 2 מערכות הצבעים : VITA A1–D4 classical וב־ VITA 3D-MASTER, ומאפשרים את מלוא טווח הגוונים הנדרשים על מנת לבצע ולקבל התאמה אישית לכל מטופל.
מראה נכון — כמו שן טבעית
לא רק הגוון חשוב: גם השקיפות , אופן שבירת האור ופיזורו, והפלואורסנטיות של החומר בשחזור ללא מתכת, חייבים לדמות שן טבעית כדי להגיע לתוצאה אסתטית מושלמת.
כל בלוקי VITABLOCS מיוצרים מחרסינה פלדספאטית טבעית, הידועה בתכונות האופטיות הדומות לשיניים טבעיות [4].
לכן, הבלוקים של VITABLOCS TriLuxe forte מתאימים במיוחד לשחזורים הדורשים אסתטיקה גבוהה – במיוחד לציפויים ולשחזורים בודדים של שיניים קדמיות.
ליטוש קל ומהיר
קבלת פני שטח חלקים חשובה במיוחד בשחזורים. זו הדרך היחידה לשמור לטווח הארוך על המשנן הנגדי ועל השחזור עצמו מול שחיקת יתר, והידבקות של מזהמים.
החרסינה המיקרו-גרגירית של VITABLOCS מאפשרת ליטוש מהיר, פשוט ויעיל [5,6].
יתרון משמעותי נוסף: לאחר סיום הליטוש – השחזור מוכן להדבקה מיידית , ללא צורך בשריפת גלייז.
שחיקה — בדומה לאמייל הטבעי בשן
בטווח הקליני הארוך, חשוב שהשחזור והשן הנגדית יישחקו בקצב דומה.
שחיקה איטית מדי יוצרת נקודות מגע מוקדמות במשנן הטבעי הנגדי, ועשויה ליצור עומסים מיותרים וליצור נזקים קליניים למטופל בטווח הרחוק, בעוד ששחיקה מהירה מדי פוגעת בעמידותו של השחזור.
בבלוקי VITABLOCS השחיקה הדומה לזו של האמייל הטבעי בשן [7] – לשמירה על משנן נכון המאפשר תפקוד אופטימאלי לאורך זמן.
עמידות קלינית גבוהה והצלחות מוכחות
מחקרים קליניים לאורך זמן מראים כי שחזורים ללא מתכת מ־VITABLOCS מצטיינים בשיעורי הצלחה ושרידות גבוהים ביותר – גם באזור האחורי שבו העומס גדול [8,9].
בנוסף, גם ציפויים וכתרים קדמיים מחרסינה פלדספאטית הציגו אמינות גבוהה על פי המחקרים [10,11].
השילוב בין חוזק, שרידות ארוכת טווח, ביצועים אמינים, בשילוב עם אסתטיקה גבוהה - הופך את VITABLOCS לבחירה בטוחה ומובילה לשחזורים ללא מתכת איכותיים.
-
[1] Kurbad A. Three-dimensionally layered ceramic blocks. Int J Comput Dent. 2010;13(4):351-65. English, German. Erratum in: Int J Comput Dent 2011; 14(1): 54.
-
[2] Aldosari LI, Alshadidi AA, Porwal A, Al Ahmari NM, Al Moaleem MM, Suhluli AM, Shariff M, Shami AO. Surface roughness and color measurements of glazed or polished hybrid, feldspathic and Zirconia CAD/CAM restorative materials after hot and cold coffee immersion. BMC Oral Health 2021 Aug 30; 21(1): 422.
-
[3] Moaleem MMA, AlSanosy R, Ahmari NMA, Shariff M, Alshadidi AA, Alhazmi HA, Khalid A. Effects of Khat on Surface Roughness and Color of Feldspathic and Zirconia Porcelain Materials under Simulated Oral Cavity Conditions. Medicina (Kaunas) 2020 May 13; 56(5): 234.
-
[4] Masek R. Reproducing natural color effects on milled ceramic restorations. Int J Comput Dent 1999 Jul; 2(3): 209-17.
-
[5] Contreras LPC, Dal Piva A, Ribeiro FC, Anami LC, Camargo SEA, Jorge AOC, Bottino MA. Effects of Manufacturing and Finishing Techniques of Feldspathic Ceramics on Surface Topography, Biofilm Formation, and Cell Viability for Human Gingival Fibroblasts. Oper Dent 2018 Nov/Dec; 43(6): 593-601.
-
[6] Sarikaya I, Güler AU. Effects of different polishing techniques on the surface roughness of dental porcelains. J Appl Oral Sci 2010 Jan-Feb; 18(1): 10-6.
-
[7] Passos SP, de Freitas AP, Iorgovan G, Rizkalla AS, Santos MJ, Santos Júnior GC. Enamel wear opposing different surface conditions of different CAD/CAM ceramics. Quintessence Int 2013 Nov-Dec; 44(10): 743-51.
-
[8] Goryainova KE, Apresyan SV, Lebedenko IY, Voronov IA. Sravnitel›naia klinicheskaia otsenka kachestva ortopedicheskogo lecheniia moliarov CAD/CAM koronkami metodikoĭ chairside [Comparative clinical evaluation of the prosthetic treatment quality of molars restored by chairside manufactured CAD/CAM crowns]. Stomatologiia (Mosk). 2019; 98(5): 72-77.
-
[9] Otto T. Up to 27-years clinical long-term results of chairside Cerec 1 CAD/CAM inlays and onlays. Int J Comput Dent 2017; 20(3): 315-329.
-
[10] Morimoto S, Albanesi RB, Sesma N, Agra CM, Braga MM. Main Clinical Outcomes of Feldspathic Porcelain and Glass-Ceramic Laminate Veneers: A Systematic Review and Meta-Analysis of Survival and Complication Rates. Int J Prosthodont 2016 Jan-Feb; 29(1): 38-49.
-
[11] Wiedhahn K, CEREC Veneers: Esthetics and Longevity. In Mörmann WH (ed.) State of the Art of CAD/CAM Restorations, 20 Years of CEREC, Berlin: Quintessence, 2006: 101–112.
מקרים קליניים והערכות מוצר:
כך משתמשים ב-VITABLOCS ברחבי העולם
כיצד מעריכים אנשי מקצוע בתחום רפואת השיניים ברחבי העולם את הבלוקים של VITABLOCS,
ומדוע הם משתמשים בו בהצלחה במשך שנים רבות?
הצטרפו אלינו למסע מסביב לעולם כדי לגלות מקרים קליניים מרתקים שנעשו באמצעות חרסינת VITABLOCS, וקראו את הערכות המקצועיות של עמיתיכם בקהילה הדנטלית.



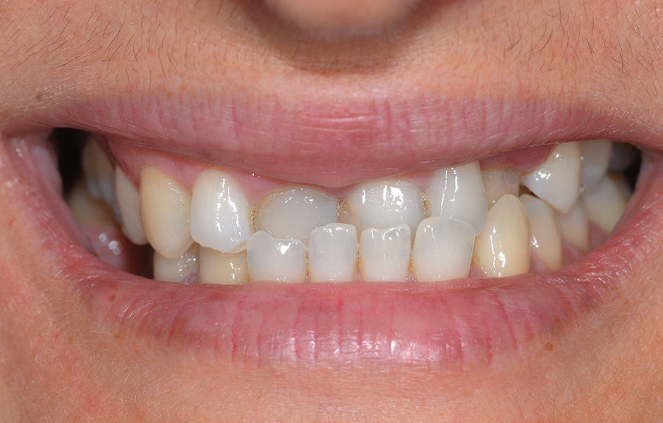
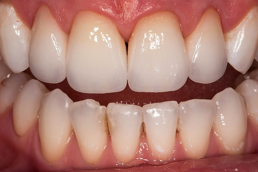
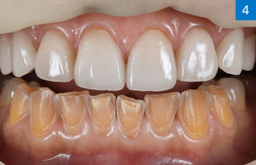
ספרד: מקרה VITABLOCS עם Bárbara Calero
"כאשר יש די אמייל, אני מעדיפה להשתמש בחרסינה הפלדספאטית הרב־גוונית ב-VITABLOCS עבור שחזורי PERFECT MATCH האסתטיים במיוחד שלי."
סיפור הצלחה: חרסינה פלדספאטית באיזור האסטטי



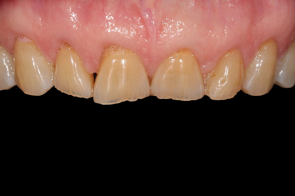
מצב התחלתי
בעקבות טראומה, שיניים 11 ו-21 שוקמו בעבר באמצעות בניות קומפוזיט, שכבר היו בנות מספר שנים. המטופלת הייתה לא מרוצה מהאסתטיקה של שתי השיניים – הן בגוון והן בצורה – ובמשך זמן רב ביקשה לבצע שחזור חדש.
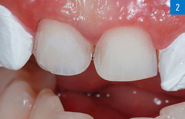
פתרון
לאחר ניתוח מקיף של השיניים הקדמיות ושל אזור האסתטיקה המלצנו למטופלת לשחזר לא רק את שיניים 11 ו-21, אלא גם את שיניים 12 ו-22, שהיו בעלות נטייה קלה לכיוון הפלטינאלי, וזאת כדי להשיג תוצאה אסתטית כוללת טובה יותר.
תכנון הטיפול וביצועו בוצעו באמצעות מוק-אפים.
הוחלט להכין ארבעה ציפויי חרסינה (veneers) מחומר החרסינה הפלדספאטית האסתטית הרב-גוונית
VITABLOCS TriLuxe forte בגוון 1M2.
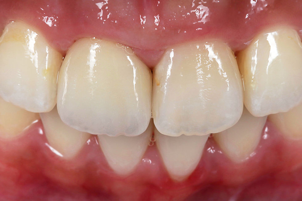
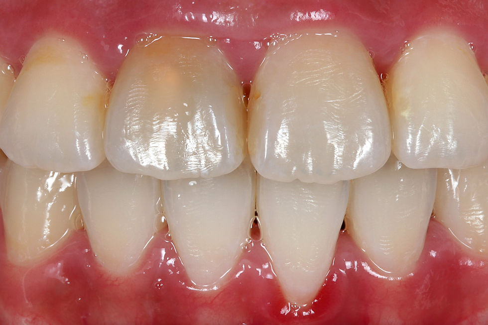
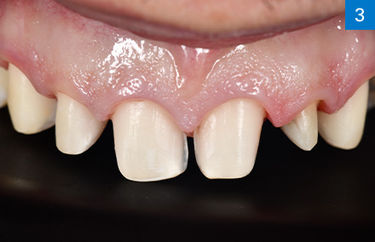
מדוע VITABLOCS TriLuxe forte?
בחרנו ב-VITABLOCS TriLuxe forte משום שמעברי הגוון הטבעיים, יחד עם אפקטים של בהירות ופלואורסנציה, כבר משולבים בתוך הבלוקים עצמם.
בשלב התכנון ב-CAD, ניתן היה לעצב את הציפויים מבחינה מורפולוגית בהתאם לווקס-אפ האנלוגי המקורי. גם המרקם המאקרוסקופי נלקח בחשבון, כך שלאחר החריטה בחרסינה הפלדספאטית מיקרו-גרגירית, נדרש רק ליטוש קל של המיקרו-טקסטורה.
לאחר הגימור הסופי, נותרו מינימום אפיונים (characterization) וזיגוג.
עם VITABLOCS TriLuxe forte ניתן ליצור שחזורים אסתטיים במיוחד — במינימום מאמץ.


ארגנטינה: מקרה VITABLOCS עם Dr. Gomez Paris
"אני משתמש ב VITABLOCS TriLuxe forte כדי לקבל תוצאות אסטטיות טבעיות ביעילות."
מקרה קליני: מערכת שיניים שניזוקה משחיקה ומאֶרוֹזְיָה כימית



מצב התחלתי
אישה בת 72 פנתה למרפאה מאחר שלא הייתה מרוצה מהמראה האסתטי של שיניה. בבדיקה הקלינית נמצאו שחיקה קשה ונזק אירוזיבי בשיניים הקדמיות, כולל אזורים של שורשים חשופים.
פתרון
ציפויים עשויים עם VITABLOCS TriLuxe forte מחרסינה פלדספאטית.
לשם יצירת פרופיל חניכיים מאוזן, תוכננו חיתוכים ג'ינג'באליים מונחים (Guided) ליישור קו החניכיים, לצד הכנה מבוקרת לציפויי חרסינה באזור הקדמי — הכל בהתבסס על ווקס-אפ.
המודל המודבק בפה (Mock-up) וכן ההכנות נסרקו, ועל בסיס הנתונים הללו תוכננו 12 ציפויים מחרסינה פלדספאטית רב-גוונית VITABLOCS TriLuxe forte בגוון 1M2.
בזכות הדינמיקה האופטית ומעבר הגוון המובנה בחומר, נדרש רק אפיון מינימלי לאחר סיום עיבוד השחזורים כדי להגיע לתוצאה אסתטית גבוהה במיוחד.
מדוע VITABLOCS TriLuxe forte?
בחרנו ב-VITABLOCS TriLuxe forte משום שהמטופלת ביקשה שחזורי CAD/CAM מהירים המעניקים משחק טבעי של גוון ואור.
הגרסה הפוליכרומאטית כוללת מעברי גוון מובנים ומדוייקים, וניתנת לעיבוד מהיר ומדויק בזכות המיקרו -גרגירים של החרסינה .
בתוכנת התכנון ניתן למקם את השחזור בבלוק הווירטואלי כך שניתן יהיה לשלוט באופן אינדיבידואלי במעבר הגוון (Chroma Gradient) עבור כל מטופל.


טייוואן: מקרה VITABLOCS
מאת Dr. Mon Li and Technician Sally Hsieh
"מעבר הגוון המובנה בארבע שכבות של עוצמה מאפשר משחק טבעי של גוון ואור באזור האסתטי."
סיפור הצלחה: שחזור שן קדמית בעזרת חרסינה פלדספאטית פולכרומטית



מצב התחלתי
לאחר טיפול שורש, מטופל בן 20 הביע חוסר שביעות רצון מההכהיה המשמעותית של שן 11, למרות שלא הופיעו תסמינים נוספים. בצילום הרנטגן נצפתה סתימת שורש תקינה ומספקת.
פתרון
תוך טיפול אחד בוצע בהצלחה שחזור כתר ברמה אסתטית גבוהה על ידי שימוש ב VITABLOCS TriLuxe forte.
לאחר ייעוץ מעמיק, בחר המטופל בשיקום מהיר באמצעות כתר קרמי מלא העשוי מהחרסינה הפלדספאטית הפוליכרומאטית VITABLOCS TriLuxe forte, במטרה להשיג תוצאה אסתטית גבוהה ולייצב את שן 11 לטווח הארוך.
כיוון שהיה חשוב לשמר את המורפולוגיה המקורית, השן נסרקה עוד לפני ההכנה לצורך תכנון הכתר.
לקביעת גוון מדויק של השן הסמוכה נעשה שימוש במכשיר VITA Easyshade V, על מנת לבחור את הבלוק בגוון המתאים ביותר.
מדוע VITABLOCS TriLuxe forte?
בחרנו ב-VITABLOCS TriLuxe forte משום שהמטופל רצה שיקום של כתר אסתטי, קבוע ומהיר — בטווח של פגישה אחת בלבד — באזור האסתטי.
הודות למעבר הגוון המובנה ולדינמיקת האור המבריקה של החרסינה הפלדספאטית הפוליכרומאטית, ניתן היה להגיע לתוצאה הרצויה עם מינימום אפיון, למרות לוח הזמנים הקצר.


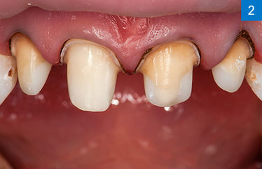
תורכיה: Dr. Önder Özdenkaya
Dentist and dental technician
"אני מעניק ל-VITABLOCS חמישה כוכבים, משום שאני משתמש בה בשמחה ובהצלחה מאז 2011 — ויש לי שליטה מלאה בכל שלב של תהליך הייצור."
סיפור הצלחה: VITABLOCS TriLuxe forte בגוון הלבנה 0M1



מצב התחלתי
המטופל לא היה מרוצה מגוון וצורת השיניים הקדמיות העליונות. שן 22 בלטה במיוחד בשל כהות משמעותית לאחר טיפול שורש, וכן עקב שחזור קומפוזיט לא מספק.
פתרון
לשיקום נבחר VITABLOCS TriLuxe forte בגוון הלבנה 0M1, בהתאם לרצון המטופל לשיניים בהירות במיוחד.
תיעוד הצילומים ותכנון החיוך הדיגיטלי הראו בבירור:
הקשת הדנטלית הצרה של השיניים הקדמיות, עם הנטייה הפלטינלית שלה, לא השתלבה בהרמוניה עם ה־Buccal Corridor. בנוסף, צירי השיניים היו ממוקמים באופן לא אחיד.
במסגרת תכנון החיוך הדיגיטלי, כל הפרמטרים האסתטיים בוצעו תחילה באופן וירטואלי, ועל בסיס זה נוצר מוקאפ אינטרא-אוראלי.
לאחר דיון סופי עם המטופל, בוצעה הכנה מונחית לפי המוקאפ (משן 13 עד 23), במטרה לבצע טיפול פולשני מינימלי ולשמור שההכנה תישאר בתוך האמייל ככל האפשר — לטובת היצמדות אדהזיבית מיטבית. במהלך ההכנה תוקנו גם צירי השיניים.
לאחר מכן יוצרו ב-CAD/CAM חמישה ציפויי חרסינה וכתר אחד על שן 22.
מדוע VITABLOCS TriLuxe forte?
בחרנו ב-VITABLOCS TriLuxe forte הפוליכרומאטי בגוון הלבנה 0M1 כדי לעמוד בדרישות האסתטיות הגבוהות של המטופל.
הודות לייצור השחזורים ללא מתכת כחלק מהתהליך הדיגיטלי, ניתן היה לשמור על הכנה מינימלית מבחינת הסרת חומר — גם כאשר היה צורך בתיקון צירי השיניים.


צ'ילה: Dr. Andrés Powditch
"אני עובד עם VITABLOCS משום שזהו החומר האסתטי והאמין ביותר ל-CAD/CAM מאז 1985. אם רוצים להגיע לגוון הנכון ולרמת השקיפות המתאימה — VITABLOCS TriLuxe forte הוא ללא ספק חומר ה-CAD/CAM הטוב ביותר לפתרון הבעיה."
סיפור הצלחה: ציפויים וכתרים
מ-VITABLOCS TriLuxe forte



מצב התחלתי
מטופל הגיע למרפאה בשל חוסר שביעות רצון מהמראה האסתטי של השיניים הקדמיות התחתונות שלו.
פתרון
לאחר ניקוי שיניים מקצועי, בוצע צילום תלת־ממדי (DICOM), ונוצרו מודלים וירטואליים (STL) של השיניים — בנפרד ובאוקלוזיה — באמצעות סריקה אינטרא אוראלית.
חותכת 32 הייתה חסרה, מה שגרם לשיניים 31 ו־33 לנטות ולהסתובב. בלטה במיוחד נסיגת חניכיים מתקדמת בשן 31 ודלקת חניכיים מקומית. המטופל לא רצה לעבור טיפול אורתודונטי ועמד על כך שהשיקום יהיה מהיר.
שני המאגרים (DICOM + STL) הותאמו זה לזה, כך שניתן היה להתחשב ברמת העצם וברקמות הרכות של השיניים במסגרת תכנון החיוך בתוכנת CEREC ובהמשך בתכנון המודל.
בהתבסס על תכנון וירטואלי זה, הוחלט לאזן את הלסת התחתונה הקדמית בפגישה אחת:
שחזור שיניים 42 ו־41 באמצעות ציפויי חרסינה ושחזור שיניים 33 ו־31 באמצעות כתרים
—הכל בוצע ב- VITABLOCS TriLuxe forte.
מדוע VITABLOCS TriLuxe forte?
החרסינה הפלדספאטית של VITABLOCS TriLuxe forte הייתה הבחירה האידיאלית כחומר CAD/CAM במקרה זה, משום שהיא מעניקה התאמת גוון מדויקת במיוחד ורמת שקיפות טבעית.
מערכת הצבע והזיגוג VITA AKZENT Plus אפשרה התאמה אישית למראה הרצוי עבור המטופל.
לאחר ייצורם במעבדת המרפאה, ניתן היה להדביק את ארבעת השחזורים בשיטת הדבקה אדהזיבית — והכול בפגישה אחת בלבד.


סין: Dr. Jia Zhen
"אני משתמש ב-VITABLOCS בהצלחה כבר שמונה שנים! בעזרת השחזורים האסתטיים אני יכול להעלות חיוך מרוצה על פני המטופלים שלי – ביעילות ובאמינות. עד היום לא היה לי אפילו מטופל אחד שלא היה מרוצה."
סיפור הצלחה: ציפויים מ-VITABLOCS Mark II בגוון הלבנה



מצב התחלתי
מטופל צעיר הגיע עם דיסקלורציה בינונית כתוצאה מטטרה-ציקלין וחשיפת אזורים צוואריים, לצד סימני שחיקה בקצוות החותכות המרכזיות העליונות.
פתרון
לאחר ביצוע ההכנות, הותאמו למטופל 16 ציפויים בפולשנות מינימאלית בבלוק בגוון הלבנה VITABLOCS Mark II, בעובי של 0.8–0.9 מ״מ, וללא מגעים פונקציונליים
לאחר אבחון קליני ורדיוגרפי נמצא כי כל השיניים חיוניות, ללא תסמינים, והמצב הפריודונטי תקין.
המטופל ביקש שיקום בהיר באזור השיניים הנראה לעין
מדוע VITABLOCS Mark II?
חומרי VITABLOCS מספקים אפקטים טבעיים בגוון , ובמקביל יכולים לטשטש דיסקלורציות.
טווח הגוונים הרחב מאפשר בחירה מדויקת של הבלוק המתאים.
מרקם המשטח דומה לזה של אמייל טבעי.
באמצעות VITABLOCS יכולים רופאי שיניים וטכנאים לענות לדרישות האסתטיות המגוונות של מטופלים שונים.


איטליה: Dr. Diego Bonaudo Dentist
"אני סומך על VITABLOCS מאז שנת 2000. הייתי מעניק ל-VITABLOCS חמישה כוכבים בזכות היציבות ארוכת הטווח והתכונות האסתטיות והביומכניות יוצאות הדופן שלו. מעקבים אחר המקרים שלי הוכיחו שוב ושוב את עמידות החומר."
סיפור הצלחה: ציפויים קדמיים מ־VITABLOCS Mark II



מצב התחלתי
מטופל עם ליקוי סגר בולט הגיע עם קווי מתאר בלתי סדירים של השפה החותכת ושל שולי החניכיים. החותכות המרכזיות העליונות היו סדוקות ומוכתמות.
פתרון
האזור האסתטי של המטופל שוקם בפגישה אחת בלבד — ישירות על כיסא באמצעות ציפויים מ־VITABLOCS Mark II.
הצלבת הסגר (Crossbite) טופלה תחילה באמצעות Invisalign.
לאחר סימולציית מוקאפ, בוצע חיתוך ג׳ינג׳יבאלי בלייזר בפולשנות מינימאלית לשם איזון קו החניכיים, ולאחר מכן בוצעו ההכנות.
מדוע VITABLOCS Mark II?
בגלל הדיוק הגבוה בשולי הציפוי לאחר הכירסום, ובגלל השקיפות הטבעית של השחזורים הסופיים.


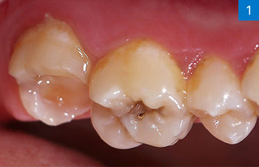
קזחסטן: Dr. Oxana Naidyonov
"בעזרת CEREC ו־VITABLOCS אני יכולה ליצור בקלות שחזורים אסתטיים ישירים — בפגישה אחת בלבד. אני אוהבת את VITABLOCS בזכות צבעם הבהיר והטבעי, קלות העבודה איתם והאסתטיקה יוצאת הדופן שלהם."
סיפור הצלחה: אונליי (Overlay) מ־VITABLOCS Mark II



מצב התחלתי
מטופלת צעירה, בת 25, הביעה חוסר שביעות רצון ממילוי ישן ופגום בשן טוחנת עליונה 27.
פתרון
המילוי הישן הוסר, העששת המשנית נוקתה, בוצע טיפול שורש חוזר, ולאחר מכן השן שוקמה באמצעות אונליי קרמי מלא עשוי
מ- VITABLOCS Mark II.
מדוע VITABLOCS Mark II?
בחרנו ב־VITABLOCS Mark II משום שרמת השחיקה שלו — הדומה לזו שבאמייל טבעי — יוצרת הרמוניה פונקציונלית עם השן הנגדית, גם בהסתכלות קלינית ארוכת טווח.


ארגנטינה: Dr. Gomez Paris
VITABLOCS הוא הבלוק המועדף עליי. לא רק בזכות איכותו, שהוכחה לאורך שנים, אלא מפני שהוא מעניק לי את התוצאות האסתטיות והאופטיות הטובות ביותר — כולל שקיפות ופלואורסנציה הדומות לאלו של מערכת שיניים טבעית."
מקרה קליני: ציפוי קדמי מ־VITABLOCS Mark II



מצב התחלתי
מטופלת צעירה בשנות ה־20 לחייה הגיעה עם דיסקלורציה פוסט־טראומטית של החותכת המרכזית העליונה הימנית.
פתרון
כדי להשיג תוצאה אסתטית מושלמת, נלקחו בחשבון הן הגוון הרצוי של השן המרכזית הבריאה הסמוכה, והן הכהיית פני השטח של השן המוכנה, בעת בחירת הבלוק.
לאחר סריקה וההכנה המינימלית־פולשנית, תוכנן ונחרט ציפוי ללא מתכת מחומר VITABLOCS Mark II בגוון 0M1.
מדוע VITABLOCS Mark II?
בזכות האסתטיקה הטבעית המובנית, וכן השקיפות והפלואורסנטיות הדומות לאלו שבשיניים טבעיות — החרסינה הפלדספאטית של VITABLOCS מאפשרת להשיג תוצאות מיטביות בשחזורים ללא מתכת , במסגרת תהליך עבודה דיגיטלי.
במקרה זה היה צורך לנטרל את הכהות של השן הכהה באמצעות גוון 0M1,
ונבחר VITABLOCS Mark II משום שבאותה תקופה הגוון הזה עדיין לא היה זמין בסדרת VITABLOCS TriLuxe forte.


ספרד: Rafa Jaén, Dental technician
"הייתי מעניק ל-VITABLOCS חמישה כוכבים משום שתהליך ה-CAD/CAM בעזרת החרסינה הפלדספאטית הוא גם צפוי וגם יעיל — וזה מקל על עבודתי היומיומית. מאז 2013 זהו החומר המועדף עליי לשחזורים במקרים של אובדן אמייל. הוא מאפשר לי להשיג אפקט גוון מושלם ולהעניק למטופלים חיוך טבעי."
מקרה קליני: ציפוי קדמי מ־VITABLOCS Mark II



מצב התחלתי
לאחר טיפול אורתודונטי, הגיעה מטופלת צעירה עם דיסקלורציה, סדקים ושחזורים שמרניים לא מספקים באזור האסתטי. החותכות המרכזיות נראו קצרות מדי.
פתרון
המטופלת טופלה באמצעות 10 ציפויים מינימליים־פולשניים עשויים מ- VITABLOCS Mark II.
מדוע VITABLOCS Mark II?
שימוש ב־VITABLOCS אפשר טיפול מינימלי פולשני המוגבל לאזור האמייל — כחלק מתהליך דיגיטלי מלא.

.jpg)
רוסיה: Dr. Stas Belous
"הייתי מעניק ל-VITABLOCS חמישה כוכבים, משום שקל לעבוד איתו והוא מעניק תוצאות שניתנות לשחזור. ניתן להבהיר שחזור בתוך שעתיים־שלוש בלבד. האסתטיקה הטבעית והמציאותית — במיוחד באזור הקדמי — מסבה סיפוק רב! האסתטיקה הטבעית והמציאותית, במיוחד באזור הקדמי, היא מקור גדול לסיפוק!"
מקרה קליני: כתרים מ־VITABLOCS Mark II



מצב התחלתי
מטופל צעיר הגיע עם חותכות עליונות שאינן ויטאליות, מוכתמות, עם מילויי קומפוזיט שלא השביעו את רצון המטופל.
פתרון
תחילה בוצע טיפול אנדודונטי בשיניים 11, 12, 21 ו־22.
שיניים אלו נצרבו והוצבו בהן יתדות סיבי זכוכית (Fiberglass posts) ובסיסי קומפוזיט ליציבות.
לאחר מכן הובהרו השיניים הטבעיות באמצעות הלבנה.
בהמשך, לאחר ווקס־אפ והכנה תואמת במוקאפ, בוצעה סריקה אינטרא-אוראלית לבסיסי השיניים שעברו הכנה, הוכנו כתרים זמניים מסוג VITA CAD-Temp בטכנולוגיית CAD/CAM כדי לדמות את הצורה והתפקוד של השחזורים.
לאחר התאמה קלינית מוצלחת (Try-in), יוצרו הכתרים הקרמיים הקבועים — ללא מתכת — מחומר החרסינה הפלדספאטית VITABLOCS Mark II, כחלק מתהליך דיגיטלי מלא.
מדוע VITABLOCS Mark II?
חומר VITABLOCS Mark II מספק גם בהירות גבוהה וגם יכולת כיסוי טובה — תכונות חיוניות במיוחד בעת שיקום שיניים שאינן חיוניות ומוכתמות.
בזכות מאפייניו האופטיים ניתן לשחזר את השן באופן טבעי ומאוזן מבחינת אסתטיקה.


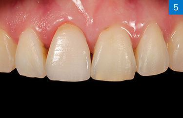
אינדונזיה: Dr. Ignatius Ronny Halim
"בזכות מגוון הרחב של הגוונים בבלוקים המונוכרומטיים או הפוליכרומטיים, אני תמיד מגיע לתוצאה הנכונה. חמישה כוכבים ל־VITABLOCS משום שהם מעניקים תוצאה טבעית ואסתטית, והם חומר אמין ובעל מחיר תחרותי. המטופלים שלי מרוצים מאוד מהאסתטיקה הטבעית ומהתוצאות ארוכות הטווח של VITABLOCS."
מקרה קליני: שיקום קדמי דו־יחידתי באמצעות VITABLOCS TriLuxe Forte



מצב התחלתי
מטופל הגיע עם שחזורי קומפוזיט בשיניים 11 ו־21, שלאחר שש שנים נשחקו בצורה משמעותית, ודהו בעקבות ניקוי יומיומי. לכן הוחלט לשחזר את החותכות באמצעות חרסינה מלאה, במטרה למנוע באופן יציב וממושך אובדן נוסף של חומר אינסיזאלי.
פתרון
בשלב הראשון בוצע מוקאפ מחומר קומפוזיטי, כדי לדמות את התוצאה הסופית המתוכננת מול המטופל.
המוקאפ נשאר בפה המטופל במשך יומיים כשלב Try-in.
המטופל היה מרוצה מהצורה ומהתפקוד. בהתאם לכך, שתי השיניים הוכנו באמצעות המוקאפ, נסרקו , וכתרים סופיים ללא מתכת נוצרו מהחרסינה הפלדספאטית VITABLOCS TriLuxe forte, ולאחר מכן הודבקו באדהזיב.
מדוע VITABLOCS TriLuxe forte?
החומר שנבחר לשיקום היה חרסינה פלדספרית פוליכרומית מסוג VITABLOCS TriLuxe forte.
הודות למעבר הגוון המובנה, ניתן היה ליצור שחזורים מונוליטיים אסתטיים במיוחד המשתלבים בהרמוניה עם חומר השן הטבעי.
החרסינה הפלדספרית של VITABLOCS מבטיחה יציבות ארוכת טווח ותכונות שחיקה הדומות לאמייל.
השחזורים נמצאים בפי המטופל מזה שש שנים — רמת השחיקה יציבה ולא דווחו על סיבוכים.

דנטל סנטר א.ר. בע״מ היא היבואנית הבלעדית של VITA בישראל.
נשמח לחזור אליך - מלא.י את פרטיך:
דנטל סנטר – היבואן הבלעדי של VITA בישראל
















.jpg)









































































